Cosmetic Dentistry

A confident smile is important for us all and cosmetic dentistry can address aesthetic issues that make us self-conscious like stained, chipped and gapped teeth.

With cosmetic dentistry, even the smallest changes can give your smile a whole new look and increase your confidence.

With cosmetic dentistry becoming increasingly popular, more and more patients are achieving the smile they always wanted thanks to a range of cosmetic dentistry treatment options. IM Dental can improve your smile and overall appearance.

Some specific treatments performed by IM Dental include:

  • Teeth whitening
  • Veneers
  • Crowns
  • Bridges
  • Tooth-coloured fillings

Your  IM Dental approved dentist can help find the right cosmetic treatment for you.

Experience Matters

It’s important you choose a dentist with training and experience in cosmetic dentistry to perform any treatments. IM Dental approved dentists are general and cosmetic dentists who are well trained in cosmetic dentistry.

Cosmetic dentists perform treatments to:

  • Remove stains and lighten teeth
  • Straighten teeth
  • Reshape teeth
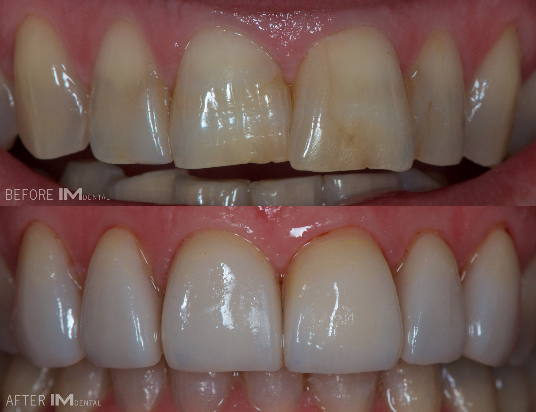
cosmetic dental albury wodonga before and after
cosmetic dental albury wodonga before and after

For quality affordable cosmetic treatment and all of your dental care needs contact us today.
Or simply call us on 02 6021 4192 to learn more.